Case 129
- Wangpan Shi
- Jun 1
- 1 min read
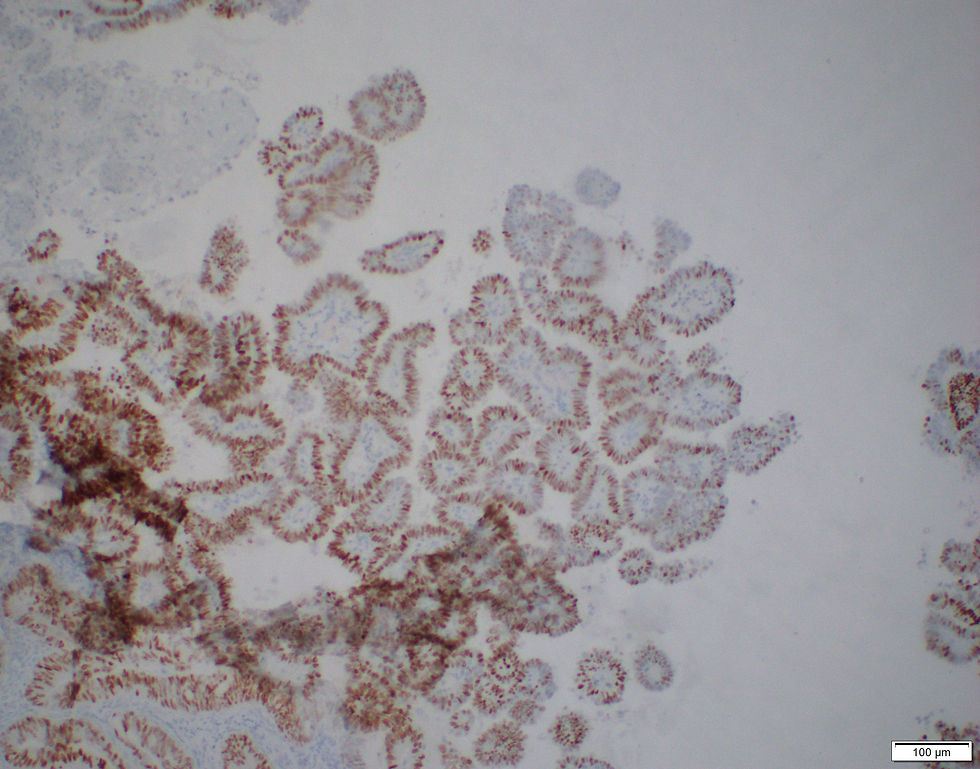
A 66-year-old female with abnormal uterine bleeding:






If you see this on a biopsy sample, what's the diagnostic line?
A: Papillary structure, favor reactive
B: Papillary structure, at least endometrial Intraepithelial Neoplasia (EIN)
C: Clear cell carcinoma
D: Serous carcinoma
E: Papillary structure. concerning for mesonephric like adenocarcinoma
Answer
This is a case of mixed mesonephric like adenocarcinoma and endometrioid type. More sections from the resection specimen.









Case credit: UCSD Pathology
Author: Wangpan Jackson Shi, MD

Comments