Case 29
- Wangpan Shi
- Jan 23
- 2 min read
Updated: Jan 23
A 70-year-old female presented with a 8.0 cm ovarian mass. Frozen section was done and a malignant process can not be ruled out. Here is the BSO-TAH specimen.






1.What's the morphology impression and the immunostains?
IHC
Pan-keratin
PAX8
EMA
Calretinin, Inhibin
You can vote for more than one answer.
Answer
there is part 2 of the case, however, by morphology this looks like yolk sac tumor or sex-cord stromal tumor category. The ovary tumor showed diffuse expression for pancytokeratin, p53 overexpression (mutated), diffuse expression for SALL4, CDX2 and Glypican 3, significant p16 expression, PTEN retained but with weak expression, PAX8 with minimal expression, and negative expression for inhibin, calretinin, Napsin and WT1.
The fallopian tube section in this patient showed:

P53 diffusely nuclear positive >80% 
P53 diffusely nuclear positive >80% 
P53 diffusely nuclear positive >80% 
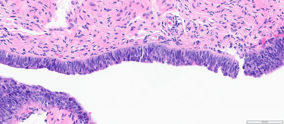
Benign unremarkable tube but the right corner starting to look like bluer (high N:C ratio) 3. What's the interpretation of the fallopian tube finding?
Answer
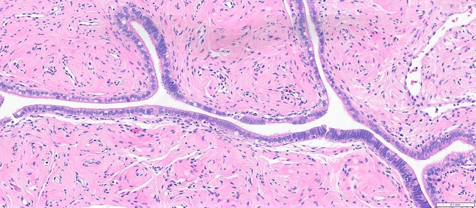
The findings are suggestive for serous tubal intraepithelial carcinoma (STIC) and serous carcinoma in figure 1. The morphology features for STIC include a high N:C ratio, nuclear enlargement, pleomorphism, hyperchromasia, loss of ciliated cells, loss of polarity, epithelial stratification, and occasionally mitotic figures. STIC needs to be confirmed by abrrent p53 and >10% Ki-67. In figure 1 the tumor invades into fallopian stroma making it serous carcinoma.
4. Taking all the findings together, what's the top line of the yolk sac tumor
diagnosed in this 70-year-old lady?
A: Yolk sac tumor in ovary and tubal serous carcinoma
B: Somatically derived yolk sac cell tumor, arising from high-grade serous carcinoma
Answer
This case represent somatically derived yolk sac tumor arising from tubal high grade serous carcinoma. This is compatible with the patient's age and the case in later NGS showed pathogenic TP53 mutation. Classic yolk sac tumor will have isochromosome 12p abnormality.
Case credit: UCSD Pathology
Author: Wangpan Jackson Shi, MD

Comments