Case 57
- Wangpan Shi
- Feb 21
- 1 min read
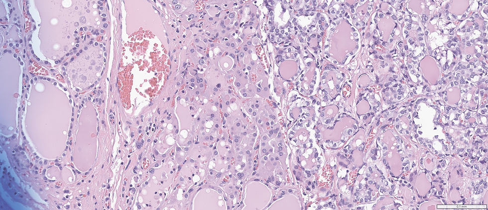
A 45-year-old female presented with a 4.0 cm mass in the left thyroid.




Is this papillary thyroid carcinoma or benign neoplasm?
Answer
This is minimally invasive follicular variant of PTC. However the nuclei features are subtle. See the table below:

References: Lester D.R. Thompson, Update on follicular variant of papillary thyroid carcinoma with an emphasis on new terminology: noninvasive follicular thyroid neoplasm with papillary-like nuclear features, Diagnostic Histopathology,
Volume 22, Issue 5, 2016, Pages 171-178, ISSN 1756-2317, https://doi.org/10.1016/j.mpdhp.2016.04.009.
Case credit: UCSD Pathology
Author: Wangpan Jackson Shi, MD

Comments