Case 58
- Wangpan Shi
- Feb 21
- 1 min read
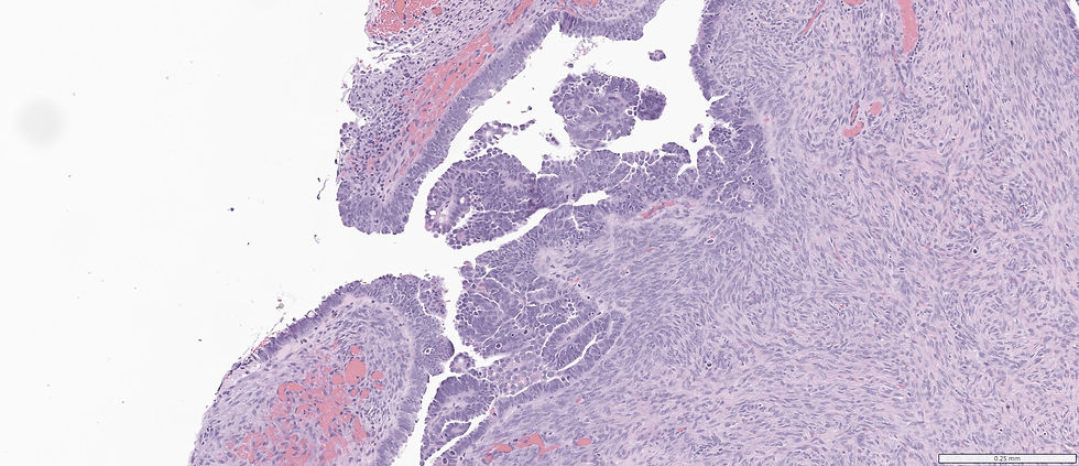
A 56-year-old female with some focal lesion on the ovary.




What's your morphology impression?
A: Serous borderline tumor
B: High grade serous carcinoma
C: Mesothelioma
D: Low grade serous carcinoma
Answer
This is a case of high grade serous carcinoma. Although low power field, serous borderline tumor might be in the ddx, high power field of significant cytologic atypia and mitosis are obvious.
Case credit: UCSD Pathology
Author: Wangpan Shi, MD

Comments