Case 7
- Wangpan Shi
- Jan 7
- 1 min read
Updated: Jan 23
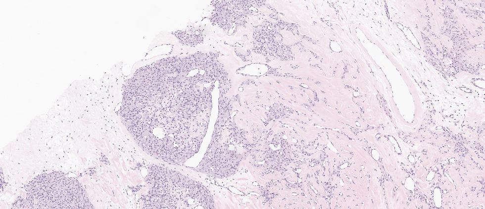
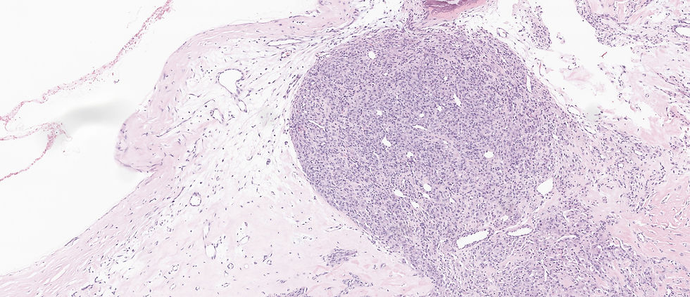
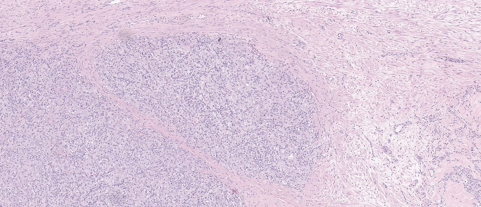
A 30-year-old female with an ovarian mass.





What is the diagnosis by morphology?
A: Fibroma
B: Thecoma
C: Signet ring stromal tumor
D: Adult granulosa cell tumor
E: Sclerosing stromal tumor
Answer
The correct answer is E. This is a classic case of sclerosing stromal tumor: 1) alternating cellularity 2) pseudo-lobular appearance 3) thin walled dilated staghorn vessels. The pseudolobules in a myxoid, edematous, or collagenous stroma is characteristic.
What is the molecular change in this pure stromal tumor?
A: CTNNB1 mutation
B: FOXL2 mutation
C: DICER1 mutation
D: GLI2 rearrangment
F: PTEN mutation
Answer
The correct answer is D. Recurrent FHL2-GLI2 fusion and trisomy 12 are identified in sclerosing stromal tumor. CTNNB1 mutation is seen in microcystic stromal tumor. DICER1 mutation is seen in moderately to poorly differentiated sertoli-leydig cell tumor and a subset of cervical rhabdomyosarcoma. PTEN mutation is seen in Cowden syndrome and is aossciated with endometroid endometrial carcinoma.
Case credit: UCSD Pathology
Author: Wangpan Jackson Shi, MD

Comments